
Odontología Estética
Carillas de Porcelana
Descripción del Procedimiento
Las carillas de porcelana son una solución cosmética altamente estética que requiere un tiempo de preparación mínimo. La carilla permanente es una cáscara delgada hecha de material de porcelana blanca personalizada que repara y reemplaza toda la anatomía del diente.
Preparación del Diente e Impresión
Después de preparar el diente, se toma una impresión y se envía a un laboratorio dental para fabricar su carilla permanente.
Colocación de Carilla Temporal
Mientras espera su carilla permanente, se coloca una carilla acrílica temporal en el diente preparado para protegerlo.
Preparación de la Superficie
La superficie del diente preparado se limpia con un limpiador ácido durante unos segundos, luego se enjuaga y se aplica un agente de adhesión.
Adhesión y Curado
Un haz de luz de alta energía cura el agente de adhesión sobre la superficie del diente. Luego, la carilla permanente se adhiere al diente utilizando un material de cemento duradero y se cura con un haz de luz de alta energía para una unión segura y duradera.
Carillas de Porcelana
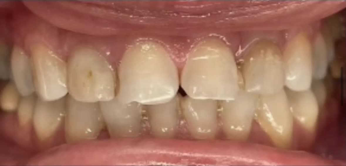
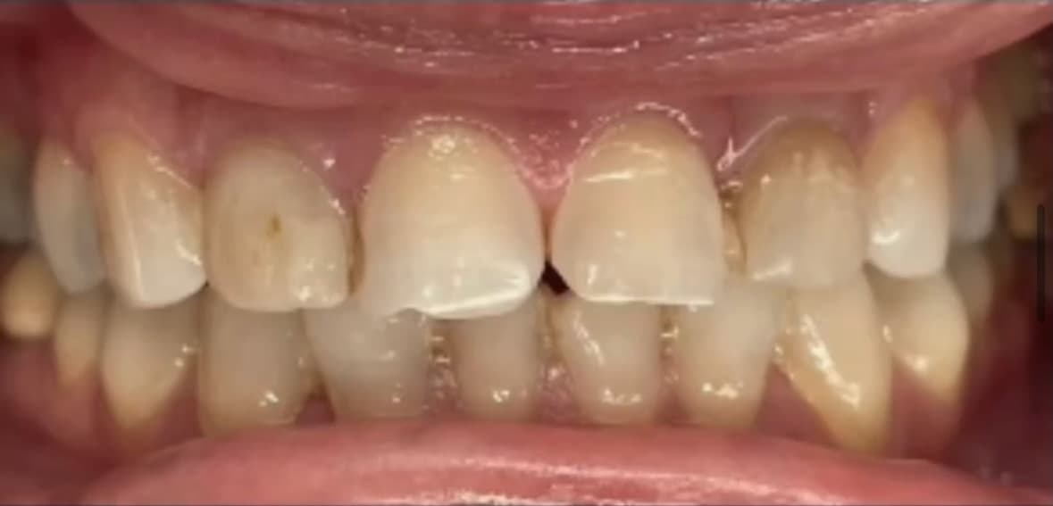
Antes de las Carillas

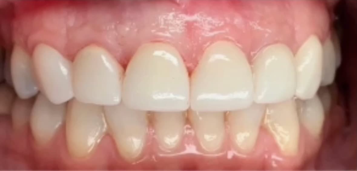
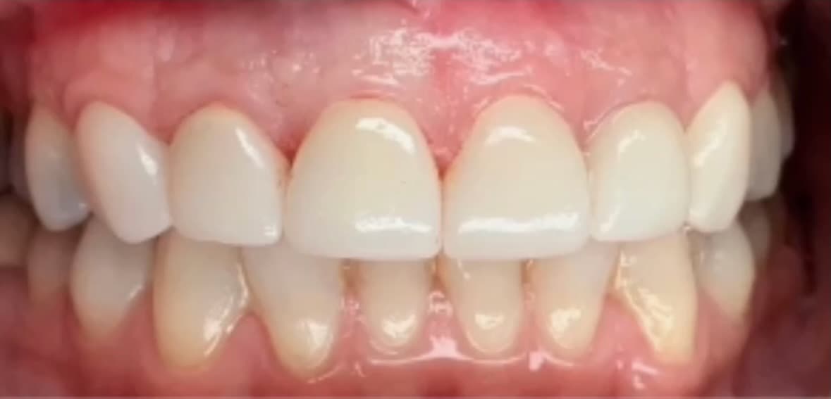
Después de las Carillas

Indicaciones
Una carilla dental puede ser una solución cosmética adecuada para reparar y reemplazar un diente fracturado o agrietado. Puede ser apropiada si el daño es moderado, afectando solo el esmalte y una porción de la capa de dentina. Las carillas son ideales para pacientes que buscan una restauración conservadora y estética para:
Cuándo Considerar Carillas de Porcelana
Dientes Fracturados o Agrietados
Daño moderado que afecta el esmalte y una porción de la capa de dentina, donde una carilla puede restaurar la apariencia y función del diente.
Decoloración Severa
Manchas que no responden a los tratamientos de blanqueamiento, incluyendo manchas por tetraciclina o fluorosis.
Dientes Astillados o Desgastados
Daño moderado a las superficies dentales que afecta la apariencia y necesita corrección cosmética.
Espacios y Problemas de Espaciado
Espacios pequeños a moderados entre dientes que desea cerrar permanentemente.
Dientes de Forma Irregular
Dientes que son demasiado pequeños, demasiado grandes o tienen contornos inusuales que requieren mejora estética.
Nota: Las carillas requieren dientes y encías saludables. Si tiene caries dental significativa, enfermedad de las encías o daño que se extiende más allá de la dentina hacia la pulpa, pueden necesitarse otros tratamientos primero. Las carillas son un enfoque mucho más conservador que las coronas, removiendo menos estructura dental mientras logran el mismo aspecto.
Beneficios
¿Por Qué Elegir Carillas de Porcelana?
Resultados Rápidos - 10 Días
Obtenga dientes permanentemente rectos y blancos en 10 días. La mayoría de los pacientes prefieren los resultados instantáneos que proporcionan las carillas, con finalización en solo una o dos semanas.
Enfoque Conservador
Las carillas son un enfoque mucho más conservador que las coronas, removiendo estructura dental mínima (típicamente 0.5mm) mientras logran el mismo aspecto hermoso que una corona.
Minimiza la Sensibilidad
Debido a que las carillas remueven mucha menos estructura dental en comparación con las preparaciones de coronas, los dientes permanecen menos sensibles y más cómodos a largo plazo.
Reduce la Necesidad de Endodoncias
La naturaleza conservadora de la preparación de carillas reduce significativamente el riesgo de necesitar tratamiento de conducto. Las coronas remueven más estructura dental, lo que puede comprometer el nervio y aumentar la probabilidad de requerir terapia de conducto.
Resistentes a las Manchas
La porcelana es altamente resistente a las manchas del café, té, vino y tabaco.
Duraderas
Con el cuidado adecuado, las carillas de porcelana típicamente duran de 10 a 15 años o más.
Alternativas
Adhesión Dental
Menos costosa y más rápida pero no tan duradera ni resistente a las manchas
Blanqueamiento Dental
Efectivo solo para la decoloración, pero no aborda la forma o alineación
Coronas
Requeridas para dientes con daño extenso o problemas estructurales, pero remueven significativamente más estructura dental, lo que puede llevar a mayor sensibilidad y mayor riesgo de necesitar tratamiento de conducto
Ortodoncia
Mejor solución para desalineación significativa o problemas de mordida
Costo y Tarifas
El costo promedio de las carillas de porcelana varía entre $1200-$1600 por diente. Su costo de bolsillo variará dependiendo de la cobertura del seguro. Contáctenos para precios exactos y para conocer nuestras opciones de pago flexibles y cobertura de seguro.
Preguntas Frecuentes
Servicios Relacionados
Ubicaciones que Ofrecen Carillas de Porcelana
Disponible en todas las ubicaciones de Philadelphia Dental en Filadelfia
Programar una Consulta
¿Listo para saber más sobre este tratamiento? Contáctenos hoy.
Reservar Cita