
Cosmetic Dentistry
Porcelain Dental Veneers
Procedure Description
Porcelain veneers are a highly aesthetic cosmetic solution that requires minimal preparation time. The permanent veneer is a thin shell made of custom white porcelain material that repairs and replaces the full anatomy of the tooth.
Tooth Preparation & Impression
After preparing the tooth, an impression is taken and sent to a dental laboratory to craft your permanent veneer.
Temporary Veneer Placement
While waiting for your permanent veneer, a temporary acrylic veneer is placed on the prepared tooth to protect it.
Surface Preparation
The prepared tooth surface is cleaned with an acidic cleaner for a few seconds, then rinsed off, and a bonding agent is applied.
Bonding & Curing
A high-energy beam of light cures the bonding agent onto the tooth surface. The permanent veneer is then bonded to the tooth using a durable cement material and cured with a high-energy beam of light for a secure, lasting bond.
Porcelain Veneers
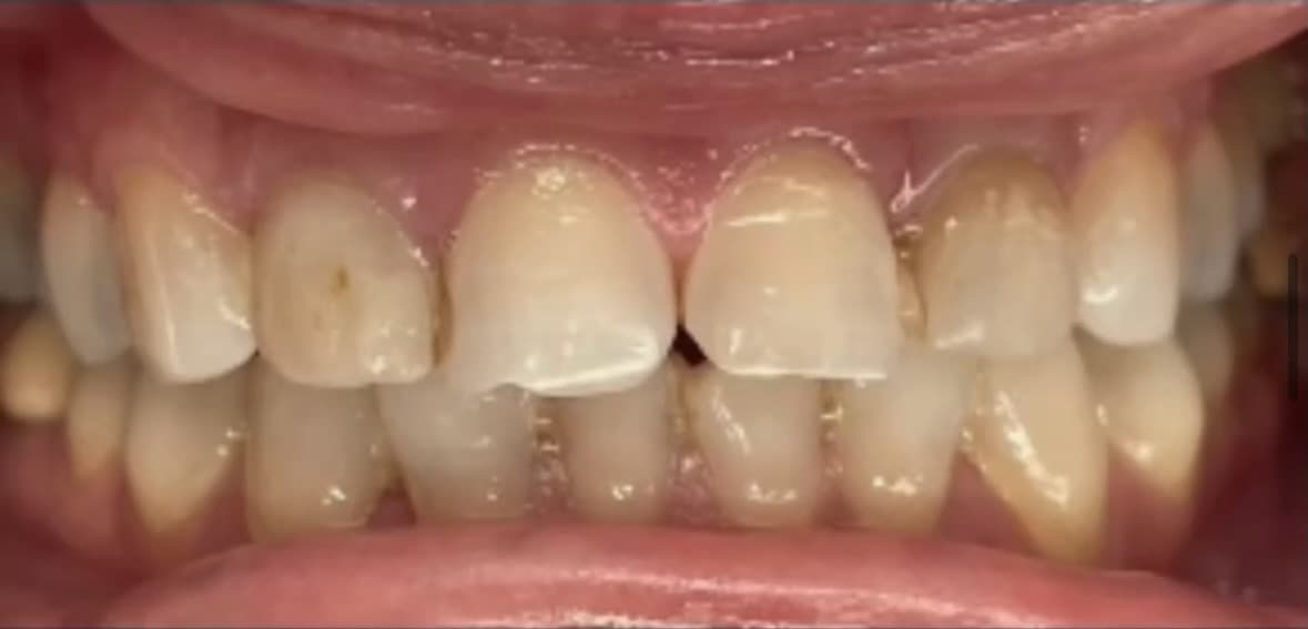
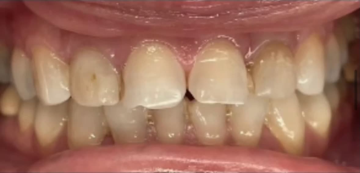
Before Veneers

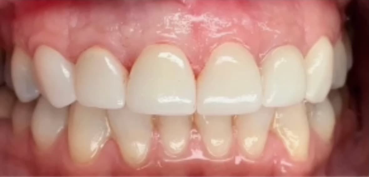
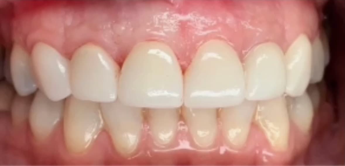
After Veneers

Indications
A dental veneer may be a suitable cosmetic solution for repairing and replacing a fractured or cracked tooth. It may be appropriate if the damage is moderate, affecting only the enamel and a portion of the dentin layer. Veneers are ideal for patients seeking a conservative, aesthetic restoration for:
When to Consider Porcelain Dental Veneers
Fractured or Cracked Teeth
Moderate damage affecting the enamel and a portion of the dentin layer, where a veneer can restore the tooth's appearance and function.
Severe Discoloration
Stains that don't respond to whitening treatments, including tetracycline staining or fluorosis.
Chipped or Worn Teeth
Moderate damage to tooth surfaces that affects appearance and needs cosmetic correction.
Gaps and Spacing Issues
Small to moderate spaces between teeth that you want to close permanently.
Irregularly Shaped Teeth
Teeth that are too small, too large, or have unusual contours requiring aesthetic improvement.
Note: Veneers require healthy teeth and gums. If you have significant tooth decay, gum disease, or damage extending beyond the dentin into the pulp, other treatments may be needed first. Veneers are a much more conservative approach than crowns, removing less tooth structure while achieving the same look.
Benefits
Why Choose Porcelain Dental Veneers?
Quick Results - 10 Days
Get permanent straight and white teeth within 10 days. Most patients prefer the instant results veneers provide, with completion in just a week or two.
Conservative Approach
Veneers are a much more conservative approach than crowns, removing minimal tooth structure (typically 0.5mm) while achieving the same beautiful look as a crown.
Minimizes Sensitivity
Because veneers remove much less tooth structure compared to crown preparations, teeth remain less sensitive and more comfortable long-term.
Reduces Need for Root Canals
The conservative nature of veneer preparation significantly lowers the risk of needing root canal treatment. Crowns remove more tooth structure, which can compromise the nerve and increase the likelihood of requiring root canal therapy.
Stain Resistant
Porcelain is highly resistant to staining from coffee, tea, wine, and tobacco.
Long-Lasting
With proper care, porcelain veneers typically last 10-15 years or longer.
Alternatives
Dental Bonding
Less expensive and faster but not as durable or stain-resistant
Teeth Whitening
Effective for discoloration alone, but doesn't address shape or alignment
Crowns
Required for teeth with extensive damage or structural issues, but remove significantly more tooth structure, which can lead to increased sensitivity and higher risk of needing root canal treatment
Orthodontics
Better solution for significant misalignment or bite issues
Cost & Fee Schedule
The average cost of porcelain veneers ranges from $1200-$1600 per tooth. Your out-of-pocket cost will vary depending on insurance coverage. Contact us for exact pricing and to learn about our flexible payment options and insurance coverage.
Frequently Asked Questions
Related Services
Locations Offering Porcelain Dental Veneers
Available at all Philadelphia Dental locations throughout Philadelphia
Schedule a Consultation
Ready to learn more about this treatment? Contact us today.
Book Appointment